Smile Gallery - Orem, UT

The Proof Is In Our Patients

Schedule Now
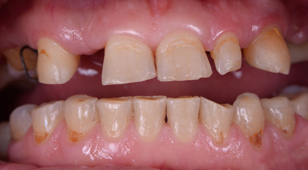
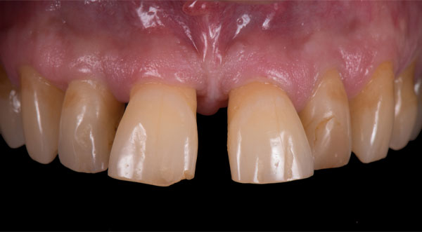
Before After dental implants beforedental implants after
Before After dental implants beforedental implants after
Before After porcelain veneers beforeporcelain veneers after
Before After dental implants beforedental implants after
Before After invisalign after
Before After teeth whitening beforeteeth whitening after

You are welcome here.

Schedule your new patient appointment today.